Navigating Tooth Extraction and Immediate Denture Placement
If you feel stuck dealing with the results of a lifetime of poor oral hygiene, it can feel like there’s no way out. We’ve all heard from childhood that caring for our teeth is vital to a confident smile. But there’s more to it than just aesthetics. A healthy smile can positively impact your overall health.
Genetic factors can also affect your dental health. The strength of your teeth and the structure of your enamel are part of your genetic makeup. Weak enamel can lead to tooth decay that’s hard to combat, especially without regular dental care.
When you begin discussing dentures with your dentist, the damage is often already done. To restore a healthy, beaming smile, a total replacement may be your best option.
Dentures are dental appliances that replace missing or extracted teeth to preserve the structure and function of the mouth. Without teeth, the tissues in your mouth begin to retract, impacting your speech and ability to eat healthy foods, reducing your life expectancy.
Thankfully, complete dentures are available. A complete denture is a removable appliance fitted to your mouth to preserve normal dental function. Working with your dentist or oral surgeon, you’ll go through a series of appointments to mold and fit them to you.
One of the most significant drawbacks for many contemplating complete dentures is the three to six months after extraction. During this time, your gums are healing without teeth in place. Going through life for three to six months without teeth is a burden you don’t have to carry!
Immediate dentures are an option that makes it possible to walk out of your appointment with a complete smile on day one. While they’re not for everyone, they can make it easier to bite the bullet and choose a total replacement. And the results speak for themselves.
Today, we’re walking through the entire process of receiving this life-changing oral surgery.
Let’s get started!
Tooth Extraction Essentials
Before you can have a complete denture made, you’ll need to have your teeth extracted. Healthcare providers prefer to keep healthy teeth whenever possible, but it’s not always an option. When there’s been damage to teeth that can’t be treated with other methods, extraction is a common solution.
Reasons for extraction
When teeth haven’t been cared for properly, they’re much easier to damage. Some of the most common reasons for tooth extraction are decay, infection, and gum disease.
Damaged Teeth
Tooth decay is the number one reason for tooth extraction worldwide. Many patients who need an extraction may avoid dental care for years. During this time, the bacteria causing the decay erode the enamel to the point where there’s not enough healthy tissue to save. Beyond that, teeth at this stage of decay often cause halitosis and severe pain.
When bacteria eat a deep enough hole into the tooth's surface, an infection of the interior, or pulp, occurs. Pulp connects the tooth to bone and the circulatory system, which can lead to widespread infection in the body. It’s nearly impossible to ignore this kind of infection. When this patient sees a dentist, they may need a root canal or extraction to remove the infection.
Bacteria can also cause gum disease, another common reason for tooth extractions. Bright red, bloody gums are a sure sign that you should immediately see your dentist. If left untreated, it can also lead to the degeneration of gum tissue and the structures that support your teeth. Bone, ligaments, and other soft tissues degrade to the point that teeth loosen and sometimes fall out on their own.
Overcrowding
Other causes for tooth extraction have more to do with the mouth's structure than oral hygiene.
An impacted tooth either doesn’t come in beyond the gum line or is only partially erupted. Overcrowding is one of the leading causes of impacted teeth requiring extraction. Wisdom teeth are frequent culprits as most people don’t have jaws large enough to accommodate them. Other impactions occur when teeth come in at twisted or odd angles or in the wrong place.
Perfect smiles don’t usually happen naturally. Orthodontists are generally involved in a perfectly aligned, healthy smile. Patients seeing an orthodontist frequently have teeth extracted to make space for appliances and future alignment.
Whatever the reason for the extraction, remember that dentists prefer to save teeth when possible. And while people frequently list tooth extraction as one of their biggest concerns when going to the dentist, it’s usually a straightforward and quick procedure.
Preparation and preoperative instructions
The most important step in a smooth and stress-free tooth extraction is knowledge. We recommend that patients learn about the process and ask any questions before the procedure. Additionally, you should share your medical history with your provider. They’ll need to know about heart conditions, liver conditions, and any sensitivities to painkillers or antibiotics.
Especially for those going under general anesthesia, avoid eating 12 hours before your procedure. For those having immediate dentures, discuss this with your dentist. They’ll have recommendations based on previous experience to guide you.
The Extraction Procedure
In most cases, the extraction procedure takes much less time than you’d think. Your dentist will first numb the area and then prepare the tooth for extraction. Depending on the extent of the procedure, it can take less than a minute to remove the tooth. Where severe tooth decay or damage is present, your dentist may need to make incisions in the gums surrounding the tooth for a clean extraction.
Once the tooth is removed, the socket is cleaned and disinfected. Your dentist may also place stitches to promote healing.
Local anesthetic is usually enough for most dental extractions. Many dentists also offer sedation options and for more extensive oral surgery, they can remove some anxiety.
Nitrous oxide is suitable for light sedation for shorter procedures. Oral conscious sedation is usually given in pill form about an hour before the procedure. IV sedation is the highest level patients in a dental office can receive. You can drive yourself to and from an appointment where nitrous oxide is used, but you’ll need to make arrangements for the others.
Potential Complications
As with any procedure, there are potential complications that may arise. Removing decaying or damaged teeth can immediately reduce pain, but here are some concerns to look for.
Post-surgical infections are rare in oral surgery, but they do occur. If your dentist prescribes antibiotics, make sure to take them all. Other complications include dry socket where the blood clot over the wound is dislodged, exposing nerves and bone.
Nerve damage is an uncommon but possible side effect. Done incorrectly, a tooth extraction can damage the nerves in the jaw and face.
Immediate Denture Insights
While we’ve discussed some of the concerns patients have surrounding tooth extraction, there’s more to the story. Ahead of denture placement, all teeth must be removed by the dentist. The sheer number of extractions can lead to more complicated outcomes in these cases.
Immediate dentures are a temporary solution that can help prevent many of the potential complications. They act like a bandage covering the extraction sites. While they’re not molded to your mouth, they provide a quick solution while the permanent appliance is fabricated.
Definition and Advantages
Immediate dentures allow patients waiting for their complete dentures to function as normally as possible. Not everyone is willing to have an empty mouth for three to six months, whether due to lifestyle or aesthetic choice. They allow patients to walk in with decayed teeth and walk about with a beautiful smile at the end of their appointment.
Facial structures, including bones, ligaments, and muscles, rely on teeth for support. Immediate dentures provide that and allow you to heal without facial distortions common in full extractions.
Your teeth also play a vital role in how you speak. These appliances allow you to relearn your speech patterns earlier in the process. Down the road, when your permanent appliance comes in, you’ll be ready to roll!
Eligibility Assessment and Fabrication Process
Almost anyone who’s eligible for permanent dentures is also eligible for immediate dentures. Dentists usually suggest them for patients undergoing a full extraction, but they’re a personal choice. Often, the biggest hurdle is cost since they often cost just as much as permanent appliances.
Once you’ve decided they’re a good fit for your needs, there are a few steps to go through. If you’re having a complete denture placed, your dentist will likely remove your back teeth first. Four to eight weeks later, they’ll have you come in and take a hard impression of your bite. They’ll use this information to order immediate dentures.
When they come in, you’ll schedule an appointment with your dentist to remove your remaining teeth. They’ll line the dentures with plastic to help fit them into your mouth, and then you’re on your way!
Post-Extraction Care
Post-extraction care is one of the most important things you can do to ensure your gums heal quickly and without complications. Follow your dentist's advice to avoid unwanted setbacks.
Instructions for patients
Once the immediate dentures are in place following extraction, they shouldn’t be removed for 48 hours. This allows your sockets to form a blood clot and begin the healing process. After that, you can treat them as you would any other denture. Clean them with a soft-bristled toothbrush and soak them overnight in a cleaning solution.
Most dentists will prescribe antibiotics and pain medication following a procedure like this. Make sure to follow their guidance for optimal results. You can also take ibuprofen and acetaminophen as needed for pain.
After the first 48 hours, rinse your mouth with warm saltwater every four hours to keep it clean.
As your wounds heal, restrict your diet to liquids and soft foods that are comfortable for you. Over time, you can expand your diet as it’s comfortable.
Follow-up appointments and healing monitoring
You’ll likely have a follow-up appointment within the first 24 to 48 hours after your surgery. During this appointment, your dentist will make any adjustments to your temporary dentures necessary. They won’t be perfectly fitted, but relining them will make for a more secure experience.
Discomfort following oral surgery usually peaks between day three and day six. Managed with pain medication, it’s nothing to worry about. However, if you’re experiencing significant pain, contact your dental care provider.
Your jawbone and gums will change shape during the healing process. These shifts often require a dentist visit to reline your dentures to fit properly.
Challenges and Considerations
Making the decision to remove your teeth and utilize temporary dentures shouldn’t be made lightly. There are some challenges that come with living with immediate dentures and some potential complications as well.
Your dental appliance isn’t custom-made to fit your mouth and may slip or move a bit during normal use. Dentists can adjust the fit by relining them with extra material to account for changes. This process is often necessary because you can’t try them on before the extraction.
Many patients experience some discomfort during the adjustment period. It’s not uncommon and is similar to what you’d experience with permanent dentures. They’re usually less sharp than permanent dentures, so chewing can be more complicated than necessary.
Once healing is complete, your immediate dentures function much like permanent dentures. You’ll clean and care for them in the same manner. If you take good care of them, you can expect them to last just as long as a permanent denture.
Conclusion
A healthy smile is one of the first things people notice about each other. But tooth decay and damage, along with gum disease, can erode your self-confidence. Choosing complete dentures is a cost-effective solution to restoring your smile, but the wait isn’t for everyone.
Immediate dentures are an ideal solution as a placeholder following complete extractions. They help protect your gums post-surgery and provide structure and support to your face. Avoid months of discomfort by choosing immediate dentures.
At Coral Reef Dental, we pride ourselves on providing the most comprehensive dental care in Palm Harbor, Florida. Under the guidance of Dr. Caputo, our team is dedicated to providing our patients with thoughtful, empathetic care.
Choosing the right dental care for your situation is easier with experts in your corner. Book a consultation with us today to discuss your needs!
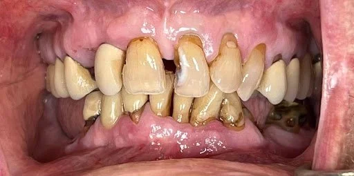
Pre-op photo
Upper arch after extractions
Lower arch after extractions
Teeth extracted
Immediate denture placement after extractions

